Radiologie & Neuroradiologie

Digitale Aufklärung in der Radiologie: Mehr Komfort, mehr Transparenz, mehr Sicherheit

11. Februar 2026 - Die Radiologie des Klinikums Aschaffenburg geht einen weiteren wichtigen Schritt in Richtung Digitalisierung: Ab sofort erfolgt die Patientenaufklärung für radiologische Untersuchungen digital über Tablets. Damit modernisieren wir unsere Abläufe und verbessern gleichzeitig Service, Verständlichkeit und Dokumentationsqualität für unsere Patientinnen und Patienten. Weiterlesen

Radiologie & Neuroradiologie

Moderne Schlaganfallmedizin: Neue Stent-Studien am Klinikum

13. November 2025 - Die Radiologie des Klinikums Aschaffenburg steht für moderne, innovative und wissenschaftlich fundierte Patientenversorgung. Als leistungsstarkes Zentrum für neuroradiologische Diagnostik und Therapie nehmen wir aktuell an zwei prospektiven klinischen Schlaganfallstudien teil. Im Mittelpunkt steht die Evaluation eines neuartigen intrakraniellen Stents zur Behandlung ausgewählter Gefäßverengungen im Gehirn. Weiterlesen

Radiologie & Neuroradiologie

Neue Mammographie-Anlage am Klinikum Aschaffenburg – modernste Technik für die Brustgesundheit

22. September 2025 - Die Radiologie des Klinikums Aschaffenburg-Alzenau hat ihre Ausstattung im Bereich der Brustdiagnostik entscheidend erweitert: Mit der Anschaffung der neuen Mammographie-Einheit Senograph Pristina der Firma GE steht Patientinnen ab sofort eine besonders schonende und hochmoderne Untersuchungstechnik zur Verfügung. Weiterlesen

Radiologie & Neuroradiologie

Kooperation in der MTR-Ausbildung zwischen dem Klinikum Aschaffenburg und dem Klinikum Fulda

20. August 2025 - Das Klinikum Aschaffenburg und das Klinikum Fulda starten eine neue Kooperation in der Ausbildung Medizinischer Technologinnen und Technologen für Radiologie (MTR). Ziel der Zusammenarbeit ist es, angehenden MTR eine qualitativ hochwertige und praxisnahe Ausbildung in einem modernen klinischen Umfeld zu ermöglichen. Weiterlesen

Radiologie & Neuroradiologie

Das Cockpit-Modell: Remote Scanning im IRN

17. Juni 2025 - Die Radiologie des Klinikums Aschaffenburg-Alzenau hat als eine der ersten Einrichtungen in Bayern das sogenannte Remote Scanning erfolgreich etabliert. Weiterlesen

Radiologie & Neuroradiologie

Moderne Hilfe bei chronischen Knieschmerzen: Genikulararterienembolisation

6. März 2025 - Das Institut für Radiologie und Neuroradiologe am Klinikum Aschaffenburg hat vor kurzem erfolgreich die schonende Behandlung der Kniegelenksarthrose, die sog. Genikulararterienembolisation (GAE), etabliert. Weiterlesen

Radiologie & Neuroradiologie

Erweiterung der Herzbildgebung: Kardio-CT als modernes Diagnostikverfahren

6. Februar 2025 - Das Klinikum Aschaffenburg erweitert sein kardiologisches und radiologisches Leistungsspektrum um die Kardio-CT und bietet damit ein modernes, nicht-invasives Verfahren zur Diagnostik von Herzerkrankungen an. Weiterlesen

Radiologie & Neuroradiologie

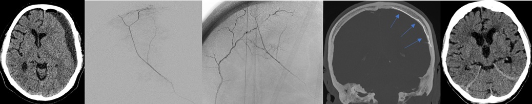
Neue Perspektiven bei subduralem Hämatom: MMA-Embolisation erweitert das Radiologie-Angebot

15. Januar 2025 - Das Institut für Radiologie und Neuroradiologie erweitert ihr Leistungsportfolio um eine moderne, minimalinvasive Therapieoption, die als Ergänzung zur operativen Behandlung den Krankheitsverlauf bei Patienten mit Subduralhämatom positiv beeinflussen kann. Weiterlesen

Radiologie & Neuroradiologie

Knochendichte präzise messen – neues Angebot in der Radiologie

26. November 2024 - Seit diesem Herbst bietet die Radiologie des Klinikums Aschaffenburg-Alzenau eine weitere wichtige diagnostische Untersuchung an: die Knochendichtemessung, auch Osteodensitometrie genannt. Mit dieser modernen Methode kann das Risiko für Osteoporose frühzeitig erkannt und eine gezielte Behandlung eingeleitet werden. Weiterlesen

Radiologie & Neuroradiologie

Ausbau des onkologischen Behandlungsspektrums: die innovative Kryotherapie

24. Mai 2024 - Das Klinikum Aschaffenburg baut sein onkologisches Behandlungsspektrum weiter aus und bietet ab sofort die Kryotherapie zur gezielten Behandlung von Tumoren an Leber und Niere an. Das innovative, minimalinvasive Verfahren nutzt extreme Kälte, um Tumorgewebe unter präziser bildgebender Kontrolle zu zerstören und dabei das umliegende gesunde Gewebe weitgehend zu schonen. Weiterlesen

Radiologie & Neuroradiologie

„Faires PJ“ Zertifikat für Radiologie

21. Mai 2024 - Das Klinikum Aschaffenburg-Alzenau einschließlich des Instituts für Radiologie und Neuroradiologie freut sich über eine neue Auszeichnung: das begehrte Zertifikat „Faires PJ“. Diese Auszeichnung bescheinigt dem Institut eine faire und qualitativ hochwertige Ausbildung für PJ-Studierende. Weiterlesen

Radiologie & Neuroradiologie

Hundertste Thrombektomie erfolgreich durchgeführt

8. März 2024 - Ein Jahr ist vergangen, seit das Team des Instituts für Radiologie und Neuroradiologie unter der Leitung von Chefarzt PD Dr. Volker Maus die erste Thrombektomie am Klinikum in Aschaffenburg erfolgreich durchgeführt hat. Die Einführung dieser Behandlungsmethode markiert einen bedeutenden Meilenstein in der Schlaganfalltherapie. PD Dr. Maus, der seit Anfang 2023 dem Klinikum angehört, hat durch sein Fachwissen und seine Erfahrung maßgeblich dazu beigetragen, die Behandlungsmöglichkeiten für Schlaganfallpatienten um diese wichtige Methode zu erweitern. Weiterlesen

Radiologie & Neuroradiologie

Herbstakademie – Praxisnahes Lernen für Medizinstudierende in der Radiologie

11. Oktober 2023 - Am 7. und 8. Oktober 2023 fand am Klinikum Aschaffenburg erstmalig die Herbstakademie für Medizinstudierende statt. Ziel der Veranstaltung war es, angehenden Ärztinnen und Ärzten einen praxisnahen Einblick in verschiedene medizinische Fachbereiche zu ermöglichen und das theoretische Wissen aus dem Studium mit praktischen Erfahrungen zu verbinden. Weiterlesen

Radiologie & Neuroradiologie

Erweiterung des Behandlungsspektrums bei Prostatavergrößerung: die Prostataarterienembolisation

30. Juni 2023 - Am Klinikum Aschaffenburg wurde im Juni erstmals erfolgreich eine endovaskuläre Prostataarterienembolisation (PAE) bei Patienten mit gutartiger Prostatavergrößerung (benigne Prostatahyperplasie) durchgeführt. Mit diesem minimalinvasiven Verfahren erweitert das Klinikum sein therapeutisches Angebot um eine schonende Behandlungsoption für Patienten mit ausgeprägten Beschwerden der unteren Harnwege. Weiterlesen

Radiologie & Neuroradiologie

Modernes Röntgengerät Multitom Rax in Betrieb genommen

19. Juni 2023 - Seit Juni 2023 ist in der Radiologie des Klinikums Aschaffenburg das hochmoderne Röntgensystem Multitom Rax im Einsatz. Das robotergestützte Gerät erweitert die diagnostischen Möglichkeiten und bietet sowohl für Patientinnen und Patienten als auch für das MTR-Team spürbare Vorteile. Weiterlesen

Radiologie & Neuroradiologie

Minimal-invasive Behandlung von Hirnarterienaneurysmen am Klinikum Aschaffenburg

13. Juni 2023 - Seit Anfang 2023 ist PD Dr. Volker Maus als Chefarzt am Klinikum Aschaffenburg tätig und hat seine umfangreiche Expertise im Bereich der interventionellen Neuroradiologie in das Klinikum eingebracht. Bereits im Juni 2023 konnte unter seiner Verantwortung erstmals eine endovaskuläre Behandlung eines Hirnarterienaneurysmas erfolgreich durchgeführt werden. PD Dr. Maus ist zudem DeGIR-zertifiziert und erfüllt damit höchste Qualitäts- und Qualifikationsstandards für minimalinvasive gefäßmedizinische Eingriffe. Weiterlesen

Radiologie & Neuroradiologie

Erste Schlaganfall-Thrombektomie erfolgreich am Klinikum Aschaffenburg durchgeführt

10. Februar 2023 - Am Klinikum Aschaffenburg wurde erfolgreich die erste Thrombektomie bei einem akuten Schlaganfallpatienten durchgeführt. Der Eingriff wurde von Chefarzt PD Dr. Volker Maus durchgeführt und markiert einen wichtigen Meilenstein in der akuten Schlaganfallversorgung am Haus. Weiterlesen

Radiologie & Neuroradiologie

Fortbildungsveranstaltung im Schloss – Vorstellung des neues Chefarztes

27. Januar 2023 - Im Rahmen der Fortbildungsveranstaltung des Ärztlichen Kreisverbands erfolgte u.a. die Vorstellung des neuen Chefarztes des Instituts der Radiologie und Neuroradiologie. Weiterlesen